Soft Tissue Grafts
Gregg A Helvey, DDS, MAGD, CDT, 14 W. Marshall Street, Middleburg, VA 20117 540-687-5855
Middleburg, VA Dental office of Gregg Helvey, DDS, MAGD
 
Soft Tissue Grafts

We are concerned foremost with your health. However, some of the procedures we perform are intended not only to control disease, but to provide you with a cosmetic benefit. Some patients may look older than their years because their teeth appear to be too long ("long in the tooth"). Soft tissue grafts and other root coverage procedures are designed to cover exposed roots and make the teeth look much better.

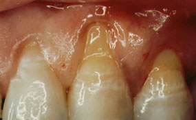
When gum tissue recedes due to periodontal disease, it pulls away from the teeth. Periodontal plastic surgery procedures can restore some coverage and dramatically improve a person's smile.

Soft tissue grafts and other root coverage procedures cover exposed roots and restore healthy gum tissue. This will reduce further bone loss and recession, make the tooth less sensitive, protect the root from root cavities, and look more natural when you smile.

Before pic
After pic
Before Soft Tissue Graft
After Soft Tissue Graft
before
after