Crown Lengthening
Gregg A Helvey, DDS, MAGD, CDT, 14 W. Marshall Street, Middleburg, VA 20117 540-687-5855
Middleburg, VA Dental office of Gregg Helvey, DDS, MAGD
 
Crown Lengthening

In many cases of dental decay, tooth fracture, or even in instances where an individual has "short" teeth, a crown lengthening procedure will allow us to properly construct an esthetic and functional crown, bridge, or restoration.

Crown lengthening is a simple surgical procedure which adjusts the position of the gum around the affected tooth, thereby providing a more solid tooth on which to anchor the restoration of choice. A functional crown lengthening will help you regain a beautiful smile and allow you to eat and speak with comfort and confidence.

A purely esthetic crown lengthening procedure to correct a "gummy" smile is often referred to as Gum Contouring.

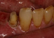
before
after
Before Crown Lengthening
This tooth required crown lengthening to provide enough tooth surface for a restoration